Straighten your teeth with Invisalign.
A clear and comfortable alternative to braces.
While traditional (metal) braces were once the only option, Invisalign offers a discreet alternative that gradually moves your teeth into an ideal position with minimal discomfort, and a transparent ‘nearly invisible’ appearance.
Teens and adults can now discreetly and gently achieve straighter teeth and that perfect smile without compromising on appearance or results.

Invisalign aligners are totally removable, making it easier to brush and floss your teeth. You also have the freedom to eat, chew and drink whatever you like!
Virtually invisible, no one has to know you are getting your teeth straightened. Attend special events and functions with the confidence to show off your smile.
Using advanced 3D imaging technology, we can accurately predict the series of movements your teeth need to make to achieve a straighter smile. Custom-made aligners are then crafted which you simply change every 2 weeks to gradually move your teeth.
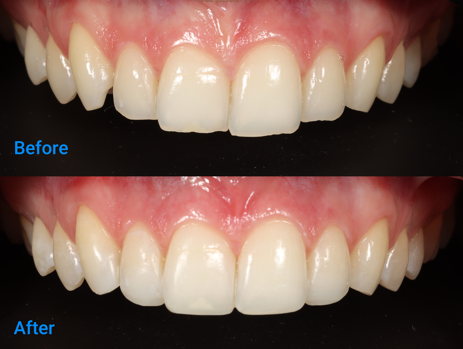
A superior alternative to traditional braces, Invisalign can provide visible results as early as the first month.
Find out if Invisalign is right for you and book an appointment with our experienced dentists now.
Invisalign treatment comprises a sequence of clear aligners that adapt to your teeth similarly to whitening trays. These aligners gently and gradually move your teeth into place week by week until they are straightened. Patients will wear aligners 20-22 hours per day to ensure tooth movements are safe and predictable.

Book in for your initial consultation at our Helensvale dental clinic.
Our team will conduct a thorough examination with all necessary x-rays and scans to see if Invisalign will work for you.
Following your appointment, we can provide you with a treatment plan and get you on your way to straighter teeth!
Invisalign is an effective way to achieve straighter teeth for anyone looking for an alternative to traditional metal braces.
Invisalign uses a series of custom-made clear aligners made of a thin, medical grade plastic that gently move your teeth in small increments. By doing so, pain and discomfort is minimised while still achieving optimum results.
These aligners are removable, virtually invisible, and comfortable to wear.
Once you have had your initial consultation at our clinic, your dentist will produce a 3D digital image of your teeth using advanced 3D imaging technology.
The imaging will be sent to the lab where your custom-made aligners will be produced. It will also allow us to map out the complete series of movements your teeth need to go through to achieve the desired results so you can get an idea of the expected outcome.
Each Invisalign aligner is worn for up to 2 weeks usually before changing to the next one. As each aligner is worn, the teeth are gradually moved until the ideal position is reached. Return to our clinic every 6-8 weeks so we can ensure your treatment is progressing as it should be.
It’s important that you wear your aligners full time (around 22 hours per day) and only take them out to eat and drink, and when brushing and flossing your teeth.
After you have completed the main phase of your treatment, you will enter the Retention Stage. This is a long-term process that will ensure long-lasting results by helping your teeth stabilise in their new position through the use of retainers.
Your treatment duration and the number of aligners you will need depends greatly on the severity of your orthodontic issues and how well you follow the treatment plan.
The length of treatment can vary between 6 months to two years, however the average treatment time is usually between 12 and 18 months.
There are various factors that can affect the price of Invisalign treatment, including the difficulty of your case, how many aligners you will need, the results you are looking to achieve and other factors.
Once we have examined your teeth and determined your goals for this treatment, we'll be able to provide you with an accurate quotation for Invisalign.
Some private health extras insurance policies will cover part of treatment costs. Waiting periods apply, so contact your private health provider to find out if you’re covered by your policy.
Does invisalign hurt? This is a very common question we get asked all the time.
Most people will experience temporary discomfort at the beginning of each new stage of treatment, i.e. when you start wearing a new aligner. Usually described as a feeling of pressure, this feeling is short-term and normal.
We recommend changing your aligners right before bed so the initial period of discomfort occurs while you are sleeping.
Your aligners may temporarily affect your speech and cause a slight lisp for a day or so.
This is often the case with any orthodontic treatment and usually disappears as your tongue becomes accustomed to having aligners in your mouth.
Once you have started your Invisalign treatment, it’s important that you schedule regular appointments with your dentist every 6 to 8 weeks. This ensures your treatment is progressing as planned.
Teenagers over the age of 14 are eligible for Invisalign treatment as long as their second molars are fully erupted.
The Invisalign System has been clinically proven to treat a number of orthodontic issues from minor teeth straightening to moderate and sever malocclusions.
This includes:
To get the best result, patients will need to wear their Invisalign aligners for 20-22 hours per day, only removing them when eating, drinking and brushing your teeth.
If you follow your treatment plan properly and maintain regular check-up appointments with your dentist, you are more likely to achieve the results you are looking for.
It’s important that you clean your aligners prior to each wear.
Using a soft bristle toothbrush and luke-warm water, add a small amount of toothpaste and gently brush the aligners inside and out.
Rinse properly with water after each cleaning.
One effective way to keep your aligners clean, stain-free and odour-free is to soak them in a solution that is half white vinegar and half tap water. Soak your aligners while you are brushing and flossing your teeth and simply rinse afterwards.
To avoid the risk of damaging your aligners, it’s very important that you:
You will receive a patient starter kit from your dentist that houses your aligners in a special holder.
Always store your current aligner in the blue holder, and the previous aligner in the red holder.
We also recommend that you keep all of your previous aligners in their original packaging and store them, or if this isn’t possible, at the very least keep the previous aligner in a safe place.
This is just in case something happens to your current aligners, you can at least wear your previous aligner until you can get in to see us for a replacement.
No, you should always remove your aligners prior to eating or drinking (besides water), and ensure you brush and floss your teeth after each meal or snack before reinserting your aligners.
Not only does this ensure you maintain proper dental hygiene, but it will also increase the lifespan of your aligners and prevent damage or staining.
After you have completed your treatment, you will be in the Retention Stage which is designed to help you achieve long-lasting results by allowing your teeth to stabilise in their new position.
In addition to this, the Retention Stage gives the gingival and periodontal tissues time for reorganisation following Invisalign treatment. These are the tissues surrounding the teeth which are affected during tooth movement.
Below we have outlined what you can expect in this stage:
Stage 1: Continue to wear your final set of aligners full time for 3 months after you have completed the main stage of your treatment.
Stage 2: After 3 months, schedule an appointment with our practice so that we can assess the stability of your treatment and also work out an appropriate plan to reduce retainer-wear.
During stage 2, you will gradually decrease the amount of time you wear your retainers during the day. It’s still important for you to wear your retainers at night.
Between the 6 and 12 month mark, you will need to book in for another review appointment so we can assess how your teeth are stabilising.
At this point, your retainers should no longer be tight fitting, but instead resting comfortably against your teeth.
This is actually a good indication of how quickly you can decrease the wear of your aligners. If they are tight, then increase the amount of time you wear retainers during the day. If they are loose fitting, then you can continue decreasing the amount of time you wear your retainers during the day.
Stage 3: The wearing of your retainers overnight should continue indefinitely for long-term stability.